EPITHELIOID FIBROHISTYOCYTOMA IN A PRESCHOOL PATIENT: CASE REPORT AND LITERATURE REVIEW
Claudia Santamaría-Arza 1, Ertzsebeth Fernanda Llamas-Franco 2, Jesús Mauricio Olivares-Gazca 2, Armando Cerro-Panizo 2, Katy Lizeth Reyes-Hernández 3, Ulises Reyes-Gómez 4, Armando Quero-Hernández 4, Gerardo López-Cruz 4, Luis Adolfo Santos-Calderón 5, Aranza Ávila-Correa 6
1 Médica Sur. Academia Mexicana de Pediatría. México.
2 Médico Interno de pregrado. Médica Sur. México.
3 Residente de Pediatría. Centro Médico “La Raza”. Instituto Mexicano del Seguro Social. México.
4 Academia Mexicana de Pediatría, Capítulo Centro.
5 Universidad Autónoma de San Luis Potosí. México.
6 Pasante en servicio social. Hospital Infantil de Morelia. México
Correspondencia: Claudia Santamaría-Arza. Médica Sur. Tlalpan Torre 1, consultorio 003, Puente de Piedra No. 150 Toriello Guerra. C.P. 14050. Correo electrónico: drasantamaria_cmc@yahoo.com
Recibido: 20 de febrero de 2018
Aceptado: 21 de febrero de 2018.
RESUMEN
El fibrohistiocitoma epitelioide, también llamado histiocitoma de células epitelioides, es una de las variantes morfológicas del histiocitoma fibroso, caracterizado por una proliferación de células de aspecto epitelioide, que representa al menos el 50% de las células. Generalmente se presenta en extremidades inferiores de adultos jóvenes. Se origina en la dermis reticular, pero a menudo puede extenderse al tejido celular subcutáneo. Se describe el caso de un preescolar masculino que cursa con un fibrohistiocitoma epitelioide celular de crecimiento lento. Se documentó el antecedente de traumatismo en la hemicara izquierda.
Palabras clave: Histiocitoma Fibroso Benigno; Inmunohistoquímica; Preescolar.
ABSTRACT
The epithelioid fibrohistiocytoma, also called epithelioid cell histiocytoma, is one of the morphological variants of the fibrous histiocytoma, characterized by a proliferation of epithelioid-like cells representing at least 50% of the cells. It usually occurs in the lower extremities of young adults. It originates in the reticular dermis, but can often extend to the subcutaneous cellular tissue. We describe the case of a preschool male with a slow-growing cellular epithelioid fibrohistiocytoma. The history of trauma in the left hemisphere was documented.
Key words: Histiocytoma, Benign Fibrous; Immunohistochemistry; Child, Preschool.
INTRODUCCIÓN
Los tumores fibrohistiocíticos representan algunos de los tumores más comunes de piel y tejidos blandos. Estos muestran características morfológicas de histiocitos y fibroblastos, aunque su histogénesis es controversial. Se han descrito distintas variantes morfológicas. Una de las menos comunes es el fibrohistiocitoma epitelioide, que debido a su baja incidencia, carece de una historia natural estudiada, por lo que su evolución resulta incierta (1).
Los pocos estudios realizados en este tipo de tumores han demostrado su mayor incidencia en una media de edad de 39 años, con un rango de 7 a 82 años y un ligero predominio en mujeres. Usualmente se presenta como un nódulo solitario de 5 a 20 mm, del color de la piel o rojizo. El sitio más común de aparición de estos tumores son los miembros inferiores (54,5%), seguido por los miembros superiores (27,2%) y cabeza y cuello (<10,0%) (1).
Mientras que el fibrohistiocitoma común ocasionalmente contiene células epitelioides, el diagnóstico de fibrohistiocitoma epitelioide se reserva para aquellos tumores en los que al menos el 50,0% de sus células son de morfología epitelioide (2,3).
CASO CLINICO
Preescolar masculino de 5 años 7 meses de edad, sin antecedentes de importancia. El padecimiento inició 4 meses previos a la admisión a la unidad hospitalaria, al presentar traumatismo en hemicara izquierda con posterior aparición de una lesión nodular ubicada en mejilla izquierda. Fue presentando un crecimiento progresivo, condicionando asimetría de la hemicara y parálisis del nervio facial izquierdo por compresión. A la exploración física se encontró un aumento de volumen en mejilla izquierda a expensas de una lesión redondeada, no fija a planos profundos, firme, sin cambios en la temperatura, no dolorosa a la palpación y con coloración rojiza-violácea.
En la radiografía anteroposterior y lateral de cráneo no se observaron alteraciones intrínsecas en las estructuras óseas del cráneo y de la cara ni calcificaciones. Se realizó ultrasonido en escala de grises con aplicación de Doppler color (figura 1), en el que se describió una lesión nodular de 24.3 x 22.6 x 17.6 mm con un volumen de 5.1 cc, sólida, de baja rigidez demostrada por elastografía y altamente vascularizada en tejido celular subcutáneo de la región malar izquierda (figura 2).


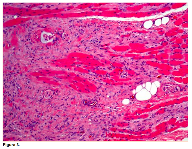
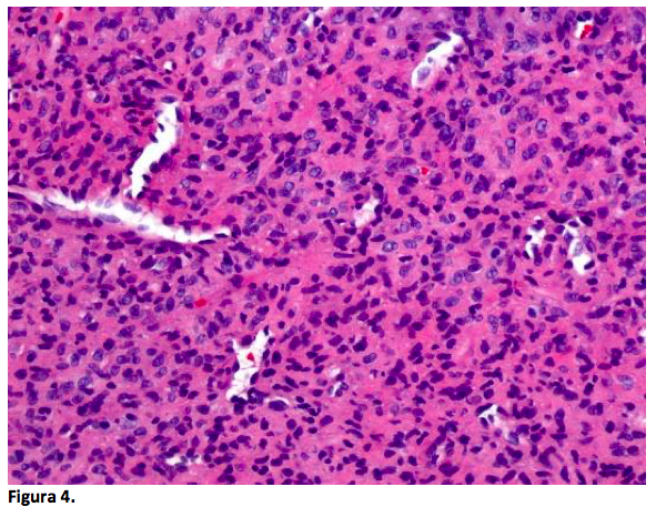
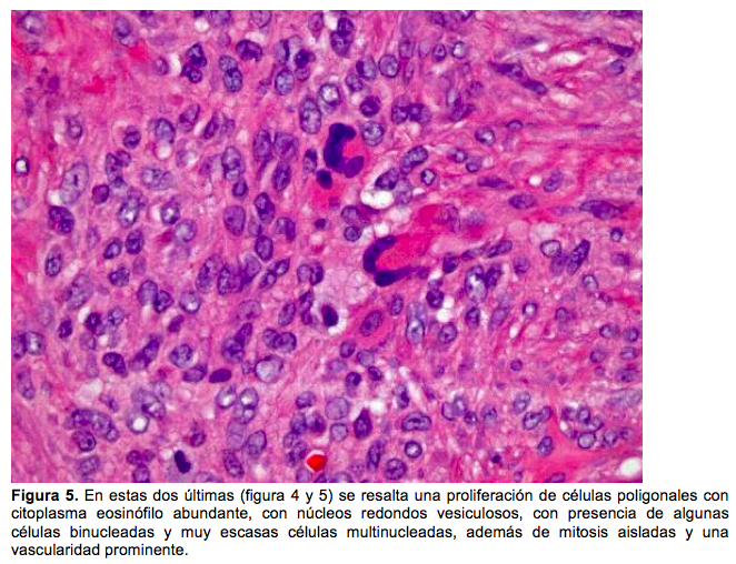
Con estos datos, se planificó la intervención quirúrgica en dos tiempos. En una primera intervención se realizó resección de tumor de región malar izquierda, con separación de rama cigomática del nervio facial y posteriormente, se practicó deslizamiento de colgajo músculo cutáneo para reparación de la herida. Se realizó estudio transoperatorio en el departamento de anatomía patológica, donde se reportó fibrohistiocitoma epitelioide celular con invasión de músculo estriado, multifragmentado (figuras 3,4 y 5), por lo que no fue posible realizar la evaluación de los márgenes quirúrgicos.



La evolución postoperatoria fue satisfactoria y el paciente egresó del hospital al segundo día postoperatorio. Se decidió continuar el seguimiento por consulta externa.
DISCUSIÓN
Los tumores fibrohistiocíticos componen una familia de tumores con distintas variantes morfológicas como el celular, aneurismático, atípico, profundo, lipidizado y epitelioide. El fibrohistiocitoma epitelioide es una variante poco frecuente que representa menos del 5% de estos tumores. Originalmente descrito por Wilson Jones en 1989, sólo se han reportado series pequeñas de casos, por lo que su historia natural no es bien entendida.
Este caso, cursó con una presentación clínica poco frecuente, en un niño de 5 años en la región malar, lo cual no es lo habitual, de allí la importancia del presente reporte.
Las características histológicas del tumor en este caso son similares a las descritas en la literatura. Se encontró una proliferación de células poligonales con citoplasma eosinófilo abundante, con núcleos redondos vesiculosos, con presencia de algunas células binucleadas y muy escasas células multinucleadas, además de mitosis aisladas y una vascularidad prominente (Fig 4 y 5). La reacción de inmunohistoquímica para CD163 fue positiva, mientras que las inmunorreacciones para CD68, S100, CD34 y Actina de músculo liso fueron negativas en las células tumorales (3, 4).
A diferencia de otras variantes, el fibrohistiocitoma epitelioide muestra positividad para el antígeno de membrana epitelial (EMA) en el 65% de los casos (3). Recientemente se ha demostrado la expresión inmunohistoquímica de cinasa de linfoma anaplástico (ALK) y su rearreglo genético (4). Lo que sugiere que no existe una relación biológica con las otras variantes de fibrohistiocitoma.
Estos tumores constituyen un reto diagnóstico debido a su similitud con otro tipo de lesiones. Los diagnósticos diferenciales incluyen el nevo de Spitz, melanoma, mioepitelioma sincicial cutáneo, sarcoma epitelioide y otras lesiones vasculares (5,6).
Presentan un comportamiento generalmente benigno y el tratamiento es quirúrgico. A pesar de que la tasa de recurrencia es de hasta el 20% en algunas variantes del fibrohistiocitomas como el celular; en el tipo epitelial solo existen aislados casos de recurrencia local y la resección completa generalmente es suficiente. Asimismo, se ha reportado un caso de comportamiento atípico de este tipo de tumores, el cual cursó con metástasis a pulmón (7,8).
CONCLUSIÓN
Los tumores fibrohistiocíticos poseen una gran cantidad de variantes morfológicas, por lo que es importante reconocerlas debido a que conllevan diferencias tanto en las características histológicas como en el comportamiento clínico y de esta manera poder determinar el pronóstico y tratamiento de las mismas.
REFERENCIAS
1. Jones EW, Cerio R, Smith NP. Epithelioid cell histiocytoma: a new entity. Br J Dermatology 1989; 120: 185.
2. Singh GC, Calonaje E, Fletcher CD. Epithelioid benign fibrous histiocytoma of skin: clinico-pathological analysis of 20 cases of a poorly known variant. Histopathology 1994; 24: 123.
3. Leona AD, Fletcher DC. EMA positivity in epithelioid fibrous histiocytoma: a potential diagnostic pitfall; Journal of Cutaneous Pathology. 2001; 38: 697-703.
4. Doyle LA, Mariño EA, Fletcher DC, Hornick JL. ALK rearrangement and overexpression in epithelioid fibrous histiocytoma. Mod. Pathol. 2015; 28: 904–12.
5. Bostjan L, Calonje E. Cutaneous fibrohistiocytic tumors – an update; Histopathology 2010; 56(1): 148-65.
6. Heino H. Fibrohistiocytic skin tumors. JDDG 2006; 544-555.