ZIKA VIRUS CONGENITAL SYNDROME, BASIC CONCEPTS
Luis Jorge Matos-Alviso1, Luis Adolfo Santos-Calderón2, Katy Lizeth Reyes- Hernández2, Ulises Reyes-Gómez3, Claudia Santamaria-Arza3, Gerardo López-Cruz3, Manuel Ulises Reyes-Hernández4, Alejandra V. López-Días5, Armando Quero-Hernández3, Jesús de Lara-Huerta6
1 Hospital General Instituto de Seguridad y Servicios Sociales de los Trabajadores del Estado. Acapulco, Guerrero. México.
2 Universidad Autónoma de San Luis Potosí. México.
3 Academia Mexicana de Pediatría. México.
4 Departamento de Medicina Materno-Fetal Centro Médico “La Raza”. Instituto Mexicano del Seguro Social. México.
5 Facultad de Medicina. Universidad Autónoma Benito Juárez de Oaxaca. México
6 Hospital Infantil Universitario de Torreón. México.
Correspondencia: Luis Jorge Matos. Hospital General Instituto de Seguridad y Servicios Sociales de los Trabajadores del Estado. Acapulco, Guerrero. México. Correo electrónico: matos443@hotmail.com
Recibido: 20 de febrero de 2018.
Aceptado: 05 de marzo de 2018.
RESUMEN
El presente artículo aborda los conceptos básicos de las principales características clínicas del síndrome congénito por virus zika (CZS), recientemente descrito y que ha afectado a un gran número de neonatos en América Latina. Se establecen los criterios clínicos y diagnósticos para identificarlo y diferenciarlo de otros síndromes muy parecidos.
Palabras clave: Síndrome, Disrupción Cerebral Fetal; Microcefalia; Artrogriposis
ABSTRACT
This article deals with the basic concepts of the main clinical features of congenital zika virus syndrome (CZS), recently described and which has affected a large number of infants in Latin America. Clinical and diagnostic criteria are established to identify and differentiate it from other very similar syndromes.
Keywords: Syndrome; Fetal Brain disruption; Microcephaly; Arthrogryposis
INTRODUCCIÓN
El Síndrome Congénito por virus zika (CZS por sus siglas en inglés), fue descrito recientemente y aún se encuentra en fase de investigación. Se considera una nueva enfermedad teratogénica , ocasionado por el virus Zika (arbovirus del género Flavivirus, RNA-virus) muy cercano filogenéticamente a virus como el dengue, fiebre amarilla, encefalitis japonesa y virus del nilo occidental, entre otros (1,2).
El virus Zika se adquiere a través de la picadura de mosquitos Aedes aegypti y Aedes albopictus hembras, infectados con el virus. Se puede trasmitir también por la vía sexual o en forma prenatal durante la gestación (3,4).
El virus Zika (ZIKV) fue notificado por primera vez en América Latina a principios de 2015, reportándose los primeros casos en el nordeste de Brazil (5). Las investigaciones clínicas, epidemiológicas y de laboratorio, concluyeron que la infección durante la gestación provocaba transmisión uterina del (ZIKV) afectando el desarrollo embrionario (disrupción) causando microcefalia y afecciones graves en el desarrollo cerebral (6,7).
Las características clínicas del CZS son consecuencia de la afectación neurológica directa y la pérdida de volumen intracraneal, ocasionando alteración estructural y funcional (8,9). Las alteraciones estructurales incluyen morfología craneal, anomalías cerebrales, anomalías oculares y contracturas congénitas. Las alteraciones funcionales están relacionadas exclusivamente con el deterioro neurológico (10-12).
Morfología Craneal
La microcefalia severa (más de tres desviaciones percentilares por debajo de la media) que se presenta con la infección intrauterina por ZIKV suele acompañarse de sutura craneal superpuesta, hueso occipital prominente y cuero cabelludo redundante. Frecuentemente existe desproporción craneofacial extrema con depresión de los huesos frontales y parietales (13-15).
Entre los lactantes con microcefalia severa el grado de deformación de la bóveda craneal varía en relación al fenotipo de disrupción cerebral fetal (6,7).
Anomalías cerebrales
La neuropatía cerebral crónica de niños infectados por ZIKV, tiene un gran parecido a los afectados por el citomegalovirus (CMV) congénito. (16) La diferencia es la distribución de las calcificaciones intracraneales (típicamente subcorticales en la infección congénita por ZIKV y periventriculares en el CMV) (17).
Se han identificado una serie de anomalías que incluyen, presencia de calcificaciones difusas, principalmente de localización subcorticales; aumento de los espacios líquidos (ventriculares y extra axiales); adelgazamiento cortical con anormalidades en las circunvoluciones, (polimicrogiria, paquigiria, agiria ); hipoplasia o ausencia del cuerpo callosos; disminución de la mielina; e hipoplasia del cerebelo o del vermis cerebeloso (16-18).
También se han identificado calcificaciones en los ganglios basales y en el tronco encefálico. Algunas de estas anomalías cerebrales pueden ser detectadas prenatalmente con ecografía o imagen de resonancia magnética (18-20). En casos de microcefalia grave, la fontanela anterior es frecuentemente muy pequeña o puede estar cerrada, dificultando el estudio por ultrasonografía transfontanelar en los recién nacido (19,20).
El daño del sistema nervioso central ocasionado por el ZIKV es probablemente debido a lesión celular directa como ZIKV (14,21,22) y se han identificado ZIKV vivos en el tejido cerebral de lactantes con microcefalia (12,23).
Anomalías oftálmicas
Las anomalías estructurales oculares más frecuentes son en particular microftalmia y coloboma, cataratas congénitas y calcificaciones intraoculares (24,25).
Se han reportado casos de atrofia coriorretiniana, retina pigmentaria y atrofia del nervio óptico. Las series de 20 o más lactantes con microcefalia asociada a ZIKV reportan anomalías oftálmicas en un 24% a 55%. La infección por ZIKV a diferencia de otras infecciones congénitas, en esta las lesiones retinianas como la atrofia coriorretiniana bien definida y la pigmentación macroscópica, que afectan generalmente a la región macular son únicas en la infección por ZIKV (24-27).
Contracturas congénitas
Se han descrito contracturas congénitas de una o múltiples articulaciones (artrogriposis múltiple congénita o artrogriposis) en fetos y recién nacidos con infección congénita por ZIKV. El cuadro clínico de las contracturas congénitas varía de acuerdo a la localización proximal o distal, la lateralidad, el miembro superior o inferior y la gravedad reflejada por el daño neurológico (28).
Los factores neurogénicos que afectan el tracto córticoespinal, las neuronas motoras o sus interacciones pueden causar anomalías motrices fetales, lo que provoca una disminución de los movimientos fetales y de las contracturas. El mecanismo específico para las contracturas con infección prenatal de ZIKV aún no se conocen completamente (29).
Secuelas neurológicas
La información sobre los resultados y el desarrollo a largo plazo en los lactantes infectados congénitamente por ZIKV es escasa. La mayoría ha presentado secuelas neurológicas graves y discapacidades cognitivas, convulsiones y trastornos en los mecanismos de la deglución, lo que lleva a la falta de progreso. El examen neurológico de los recién nacidos afectados ha mostrado hipertonía y espasticidad, llanto excesivo, disfagia y con menor frecuencia, hipotonía (30).
Diagnóstico diferencial
El diagnóstico diferencial incluye tanto etiologías infecciosas como genéticas. Las similitudes con el virus citomegalovirus (CMV) por las lesiones cerebrales, y la microcefalia -como ocurre con otras infecciones congénitas como el virus de la inmunodeficiencia humana, varicela-zoster y rubeola- obligan a hacer el diagnóstico diferencial mediante las pruebas de laboratorio, identificación del virus y los hallazgos clínicos adicionales como lo es la presencia o no de hepatomegalia, erupción cutánea y calcificaciones craneales, ayudan a diferenciar estas etiologías de la infección por ZIKV (16,17).
Aunque muchos de los componentes de este CZS son comunes a otras infecciones congénitas, hay seis caracteristísticas que la distinguen de otras infecciones o son únicas en el CZS: Microcefalia grave con cráneo parcialmente colapsado; corteza cerebral delgada con calcificaciones subcorticales; cicatrices maculares y moteado pigmentario focal de la retina; contracturas congénitas; hipertonía temprana marcada y síntomas de afectación extrapiramidal. Por ello ante cualquiera de estos datos habrá que sospechar CZS y realizar examenes complementarios (Ver cuadro 1 y figuras 1 y 2).


Figura 1. A,B,C,D de microcefalia en Zika. Tomadas de BMJ 2015 http://www.bmj.com/cgi/doi/10.1136/bmj.i1901. Nótese que la microcefalia es grave con gran colapso craneal (B), dato típico de microcefalia por esta entidad

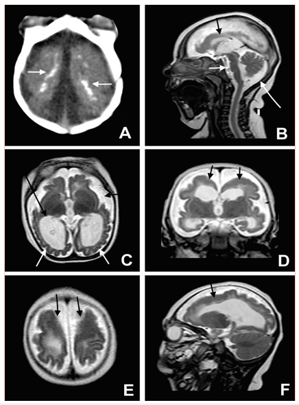
Figura 2. Fotografías A-F corteza cerebral delgada con grandes calcificaciones subcorticales, (A y B) así como cicatrices maculares criterios básicos para el diagnóstico radiológico complementario de Zika.
La Organización Mundial de la Salud (OMS) ha tipificado esta entidad nueva con los siguientes criterios:
· Caso sospechoso de SCZ: Recién nacido vivo que presente microcefalia (medida del perímetro cefálico por debajo de dos desviaciones estándar a las 24 hrs después de nacer), alguna malformación congénita del sistema nervioso central y cuya madre durante el embarazo haya tenido antecedentes de residencia o viaje a un área con presencia de vectores del ZIKV o haya tenido relaciones sexuales sin protección con una pareja que haya tenido antecedentes de residencia o viaje a un área con presencia de vectores de ZIKV.
· Caso probable de SCZ: Recién nacido vivo que cumpla los criterios de caso sospechoso y presente alteraciones morfológicas diagnósticas por cualquier método de imagen, excluidas otras causas probables o cuya madre haya presentado exantema durante el embarazo.
· Caso confirmado de SCZ : Recién nacido vivo de cualquier edad gestacional que cumpla con los criterios de caso sospechoso y en quienes se haya confirmado por laboratorio la infección por ZIKV, independiente de la detección de otros agentes.
El ZIKV ha surgido como un fenotipo distinto a lo ya descrito en mas de una década y la descripción de este nuevo fenotipo tiene un comportamiento inusual con gran afinidad de afectación al tejido cerebral (virus neurótropo). El estudio de este fenotipo puede ayudar en realizar una evaluación etiológica y diagnóstica adecuada, para iniciar el tratamiento, seguimiento multidisciplinario y especializado. Pero sobre todo para el desarrollo de una vacuna de virus vivos atenuada o de ácidos nucleicos (31, 32).
CONCLUSIÓN
Las investigaciones clínicas, epidemiológicas y de laboratorio, confirman que la infección durante la gestación provoca transmisión uterina del (ZIKV) afectando el desarrollo embrionario (disrupción) causando microcefalia y afecciones graves en el desarrollo cerebral, del producto de la concepción. Por todo ello en considerada en este momento como una enfermedad teratogénica.
Las características clínicas del CZS son consecuencia de la afectación neurológica directa y la pérdida de volumen intracraneal, ocasionando alteración estructural y funcional. Las alteraciones estructurales incluyen morfología craneal, anomalías cerebrales, anomalías oculares y contracturas congénitas. Las alteraciones funcionales están relacionadas exclusivamente con el deterioro neurológico.
Aunque muchos de los componentes de este CZS son comunes a otras infecciones congénitas, hay cinco caracteristísticas que la distinguen de otras infecciones o son únicas en el CZS: Microcefalia grave con cráneo parcialmente colapsado, corteza cerebral delgada con calcificaciones subcorticales, cicatrices maculares y moteado pigmentario focal de la retina, contracturas congénitas, hipertonía temprana marcada y síntomas de afectación extrapiramidal.
El desarrollo de una vacuna específica de protección a las niñas y adolescentes, que en un futuro próximo seran madres gestantes es una medida de Atención Primaria prioritaria en este momento para evitar en el futuro, el daño al producto que pudiera originar la infección natural.
REFERENCIAS
1. Petersen LR, Jamieson DJ, Powers AM, Honein MA. Zika virus. N Engl J Med. 2016; 374(16):1552
63.
2. Barreiro P. Evolving RNA virus pandemics: HCV, ebola, chikunguya, and now zika. AIDS Rev. 216, 18 (1): 54-5.
3. S.Ioos, HP, Mallet I, Leparc Goffart V, Gauthier T, Cardoso, M, Herida. Current Zika virus epidemiology and recent epidemics. Medicine et maladies infectieuses 44 (2014) 302-17.
4. Musso, D., Roche, C., Robin, E.Nhan, T.Teissier, A.et al.Potential sexual transmission of Zika virus. Emerg Infect Dis 2015; 21: 359-61
5. Zanluca C, Melo VC, Mosimann AL, Santos GI, Santos CN, Luz K. First report of autochthonous transmission of Zika virus in Brazil. Mem Inst Oswaldo Cruz. 2015; 110(4):569-572.
6. Bobadilla ML, Corona RA. Report and review of the fetal brain disruption sequence. Eur J Pediatr. 2001; 160(11): 664-7
7. Besnard M, Eyrolle GD, Guillemette AP, et al. Congenital cerebral malformations and dysfunction in fetuses and newborns following the 2013 to 2014 Zika virus Epidemic in French Polynesia. Euro Surveill. 2016; 21(13): 14-21
8. Oliveira MS, Malinger G, Ximenes R, Szejnfeld PO, Alves SS, Bispo de FA. Zika virus intrauterine infection causes fetal brain abnormality and microcephaly: tip of the iceberg? Ultrasound Obstet Gynecol. 2016; 47(1): 6-7
9. Werner H, Sodre D, Hygino C, et al. First-trimester intrauterine Zika virus infection and brain pathology: prenatal and postnatal neuroimaging findings. Prenat Diagn. 2016; 36(8): 785-9
10. Cavalheiro S, Lopez A, Serra S, et al. Microcephaly and Zika virus: neonatal neuroradiological aspects. Childs Nerv Syst. 2016; 32(8): 1349.
11. Hazin AN, Poretti A, Turchi Martelli CM, et al; Microcephaly Epidemic Research Group. Computed tomographic findings in microcephaly associated with Zika virus. N Engl J Med. 2016; 374(22):2193-
12. Qian X, Nguyen HN, Song MM, et al. Brain-region-specific organoids using mini-bioreactors for modeling ZIKV exposure. Cell. 2016; 165(5):1238-54.
13. Dain GH, da Silva PM, Moura PS, Dias SS, Bastos BM. Cranial bone collapse in microcephalic infants prenatally exposed to Zika virus infection. Neurology 2016; 87(1):118-9.
14. Mlakar J, Korva M, Tul N, et al. Zika virus associated with microcephaly. N Engl J Med. 2016; 374(10):951-8.
15. Moron AF, Cavalheiro S, Milani H, et al. Microcephaly associated with maternal Zika virus Infection. BJOG. 2016; 123 (8):1265-9.
16. Parmar H, Ibrahim M. Pediatric intracranial infections. Neuroimaging Clin N Am. 2012; 22(4): 707-25
17. Averill LW, Kandula VV, Akyol Y, Epelman M. Fetal brain magnetic resonance imaging findings in congenital cytomegalovirus infection with postnatal imaging correlation. Semin Ultrasound CTMR. 2015; 36(6): 476-86.
18. Brasil P, Pereira JP Jr, Raja GC, et al. Zika virus infection in pregnant women in Rio de Janeiro: preliminary report [published online March 4, 2016]. N Engl J Med. 45.
19. Werner H, Fazecas T, Guedes B, et al. Intrauterine Zika virus infection and microcephaly:Correlation of perinatal imaging and three-dimensional virtual physical models. Ultrasound Obstet Gynecol. 2016; 47(5): 657-60.
20. Microcephaly Epidemic Research Group. Microcephaly in infants, Pernambuco State, Brazil, 2015. Emerg Infect Dis. 2016; 22(6):1090-3.
21. Driggers RW, Ho CY, Korhonen EM, et al. Zika virus infection with prolonged maternal viremia and fetal brain abnormalities. N Engl J Med. 2016; 374 (22): 2142-51.
22. Martines RB, Bhatnagar J, de Oliveira RM, et al. Pathology of congenital Zika syndrome in Brazil: a case series. Lancet. 2016; 388(10047): 898-904.
23. Garcez PP, Loiola EC, Madeiro da Costa R, et al. Zika virus impairs growth in human neurospheres and brain organoids. Science. 2016; 352(6287):816-8.
24. Ventura CV, Maia M, Bravo-Filho V, Gois AL, Belfort R Jr. Zika virus in Brazil and macular atrophy in a child with microcephaly. Lancet. 2016; 387 (10015): 228.
25. De Paula Freitas B, de Oliveira Dias JR, Prazeres J, et al. Ocular findings in infants with microcephaly associated with presumed Zika virus congenital Infection in Salvador, Brazil [published online February 9, 2016]. JAMA Ophthalmol. Doi: 10.1001/jamaophthalmol.2016.0267 29
26. Guillemette AP, Besnard M, Eyrolle-Guignot D, Jouannic JM, Garel C. Prenatal brain MRI of fetuses with Zika virus infection. Pediatr Radiol. 2016; 46(7):1032-9.
27. Ventura CV, Maia M, Ventura BV, et al. Ophthalmological findings in infants with microcephaly and presumable intra-uterus Zika virus infection. Arq Bras Oftalmol. 2016; 79(1):1-3.
28. Ventura BV, Maia M, Travassos SB, et al. Risk factors associated with the ophthalmoscopic findings identified in infants with presumed Zika virus congenital infection. JAMA Ophthalmol. 2016; 134(8): 912-8
29. Van der Linden V, Filho EL, Lins OG, et al. Congenital Zika syndrome with arthrogryposis. retrospective case series study. BMJ 2016;354:i3899.
30. Sarno M, Aquino M, Pimentel K, et al. Progressive lesions of central nervous system in microcephalic fetuses with suspected congenital Zika virus syndrome [published online September 19, 2016]. Ultrasound Obstet Gynecol. doi: 10.1002 /uog.17303
31. Corona RJ, Corona RE, Romero VE, Hernández RJ, Bobadilla ML, Corona RA. Report and review of the fetal brain disruption sequence. Eur J Pediatr. 2001; 160(11): 664-7.
32. Gathany J, Gerald R, Kovacs P. Biomedical Advanced Research and Development ... US Zika Vaccine Goals. 5. 2016-2018.